Γι’ αυτό σε άτομα ηλικίας άνω των 65 ετών συστήνεται η άμεση επικοινωνία με έναν ειδικό ορθοπαιδικό, σε περίπτωση που νιώσουν ξαφνικό οξύ πόνο στην πλάτη ή τη μέση αφού υπάρχει σοβαρή πιθανότητα να πρόκειται για ένα τέτοιου είδους κάταγμα.
Αιτίες και συνέπειες ενός οστεοπορωτικού κατάγματος σπονδυλικής στήλης
Η οστεοπόρωση είναι μια χρόνια πάθηση των οστών που προκαλεί σταδιακή αραίωση της οστικής τους μάζας. Καθώς τα οστά είναι ζωντανοί οργανισμοί, καθ΄ όλη τη διάρκεια της ζωής μας ακολουθούν μια διαδικασία διάσπασης και αντικατάστασης. Όταν όμως η διαδικασία δημιουργίας του νέου οστίτη ιστού συμβαίνει με πιο αργό ρυθμό από την απώλεια του παλαιού, πράγμα που συμβαίνει ως επί το πλείστον σε ασθενείς προχωρημένης ηλικίας, έχει ως αποτέλεσμα τη μείωση της πυκνότητας των σπονδύλων και στη συνέχεια του ύψους τους και της ανθεκτικότητάς τους.
Αυτό σημαίνει πως είναι πιθανό να υποστούν ένα συμπιεστικό (οστεοπορωτικό) κάταγμα, με τις πιθανότητες να αυξάνονται όταν συνυπάρχουν και άλλοι παράγοντες, όπως η κληρονομική οστεοπόρωση, η έλλειψη σωματικής άσκησης, το χαμηλό σωματικό βάρος, οι ορμονικές διαταραχές (κυρίως στις γυναίκες μετά την εμμηνόπαυση), η υπερβολική κατανάλωση αλκοόλ και το κάπνισμα και η λήψη αντιεπιληπτικών φαρμάκων, κορτιζόνης και στεροειδών.

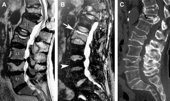
Τα οστεοπορωτικά κατάγματα της σπονδυλικής στήλης μπορεί να εμφανιστούν σε οποιονδήποτε σπόνδυλο αλλά εντοπίζονται με μεγαλύτερη συχνότητα στο κατώτερο μέρος της θωρακικής περιοχής ή στο ανώτερο τμήμα της οσφυϊκής περιοχής, ενώ υπάρχει και το ενδεχόμενο να παρουσιαστούν σχεδόν ταυτόχρονα σε περισσότερους από έναν σπονδύλους (πολλαπλά οστεοπορωτικά κατάγματα).
Άμεση συνέπεια ενός οστεοπορωτικού κατάγματος της σπονδυλικής στήλης είναι ότι ο ασθενής νιώθει έντονο πόνο στην πλάτη ή τη μέση, ο οποίος επιτείνεται κατά την ορθοστασία και υποχωρεί όταν ξαπλώνει, ενώ κάποιες φορές μπορεί να εντοπίζεται σε άλλο σημείο από αυτό του κατάγματος ή να αντανακλά στο θώρακα, την κοιλιά ή στο πόδι. Επακόλουθο ενός οστεοπορωτικού κατάγματος είναι η σφηνοειδής παραμόρφωση και η απώλεια ύψους του σπονδύλου με αποτέλεσμα την κύφωση, τον περιορισμό της κινητικότητας της σπονδυλικής στήλης και τον χρόνιο πόνο. Τυχόν δε πίεση νευρικών στοιχείων από σπασμένα κομμάτια του σπονδύλου μπορεί να προκαλέσουν σοβαρές νευρολογικές επιπλοκές.
Διάγνωση και Αντιμετώπιση του Οστεοπορωτικού Κατάγματος
Η διάγνωση γίνεται με απλή ακτινογραφία όταν υπάρχει ήδη σημαντική καθίζηση του σπονδύλου ή με μαγνητική τομογραφία που επιβεβαιώνει ότι ένας παραμορφωμένος στην ακτινογραφία σπόνδυλος έχει υποστεί πρόσφατο κάταγμα. Ο ορθοπαιδικός χειρουργός, λαμβάνοντας το πλήρες ιστορικό του ασθενούς, θα του προτείνει την αγωγή που ενδείκνυται για την περίπτωσή του, συντηρητική -η οποία σε κάποιες περιπτώσεις είναι αποτελεσματική- ή χειρουργική.

Η συντηρητική αγωγή, ενδείκνυται σε απλά κατάγματα χωρίς καθίζηση και περιλαμβάνει:
- Τη μέτρηση της οστικής πυκνότητας (DEXA-scan), για να επιβεβαιωθεί η ύπαρξη οστεοπόρωσης και να χορηγηθούν τα απαραίτητα αντιοστεοπορωτικά φάρμακα αλλά και συμπληρώματα ασβεστίου και βιταμίνης D.
- Τη χρήση ειδικού κηδεμόνα σπονδυλικής στήλης (3 σημείων).
- Τη χορήγηση παυσίπονων για την αντιμετώπιση του έντονου πόνου.
- Την παραμονή στο κρεβάτι για 2-3 εβδομάδες κι έπειτα την σταδιακή κινητοποίηση με τον κηδεμόνα σπονδυλικής στήλης για άλλους 2 μήνες σε συνεργασία με κάποιον φυσικοθεραπευτή, ο οποίος θα υποδείξει στον ασθενή ειδικές ασκήσεις ενίσχυσης των μυών του κορμού.
- Την παρακολούθηση του κατάγματος ανά τακτά χρονικά διαστήματα με ακτινογραφίες, ώστε να παρακολουθούμε την πορεία πώρωσής του.

Χειρουργική Αντιμετώπιση - Κυφοπλαστική
Σε πολλές περιπτώσεις η συντηρητική αγωγή δεν έχει αποτέλεσμα και ο πόνος παραμένει έντονος ή επιδεινώνεται με αποτέλεσμα την επιδείνωση της ποιότητας ζωής των ασθενών και την αδυναμία να ανταποκριθούν στις καθημερινές τους υποχρεώσεις. Η μακροχρόνια κατάκλιση των ασθενών οδηγεί επίσης σε περαιτέρω απώλεια μυϊκής και οστικής μάζας. Ο πόνος δεν οφείλεται μόνο στο ίδιο το κάταγμα αλλά και στην παραμόρφωση στης ανατομίας της σπονδυλικής στήλης και ο μόνος τρόπος να σταματήσει άμεσα είναι η αποκατάσταση του σχήματος των σπονδύλων, η σταθεροποίησή τους και η ενίσχυση του μπροστινού τμήματός τους, ώστε να μπορούν και πάλι να μεταφέρουν μέρος του φορτίου, αποφορτίζοντας έτσι τις σπονδυλικές αρθρώσεις.
Αυτό επιτυγχάνεται με τη μέθοδο της κυφοπλαστικής.

Η κυφοπλαστική είναι η πλέον σύγχρονη μέθοδος αντιμετώπισης των οστεοπορωτικών καταγμάτων της σπονδυλικής στήλης. Κατά την επέμβαση, ο ορθοπαιδικός χειρουργός, με ακτινοσκοπική καθοδήγηση, εισάγει διαδερμικά (με δύο μικρές τρυπούλες) στον σπόνδυλο μια μικρή συσκευή σαν μπαλονάκι, το οποίο φουσκώνει και αποκαθιστά τον σπόνδυλο, επαναφέροντάς τον στο αρχικό του σχήμα και θέση. Έπειτα, ξεφουσκώνει το μπαλονάκι και γεμίζει το κενό που έχει δημιουργηθεί με ειδικό οστικό τσιμέντο, σταθεροποιώντας τον σπόνδυλο.
Για κάθε σπόνδυλο απαιτούνται περίπου 30 λεπτά, η επέμβαση γίνεται με τοπική αναισθησία ή ήπια καταστολή (μέθη), είναι εντελώς αναίμακτη και ο ασθενής μπορεί μετά από λίγες ώρες να επιστρέψει στο σπίτι του και στις καθημερινές του δραστηριότητες.
Η κυφοπλαστική θεωρείται η πλέον ασφαλής και αποτελεσματική μέθοδος χειρουργικής αντιμετώπισης τέτοιου είδους καταγμάτων η οποία, μιας και αποτελεί μια ελάχιστα επεμβατική τεχνική, έχει πολύ πιο σύντομη διάρκεια αλλά και πολύ μικρότερη απώλεια αίματος από την παλαιότερη μέθοδο της σπονδυλοδεσίας.

Επιλέγοντας έναν άριστα καταρτισμένο ορθοπαιδικό χειρουργό, μπορούμε να έχουμε τα βέλτιστα αποτελέσματα, με την οριστική λύση του προβλήματος και την άμεση κινητοποίηση και ανακούφιση από τον πόνο.