Τι είναι η τενοντίτιδα
Η τενοντίτιδα είναι η φλεγμονή του τένοντα, που μπορεί να είναι ένας οξύς τραυματισμός ή ένα χρόνιο πρόβλημα και απασχολεί έναν σημαντικό αριθμό ανθρώπων, όχι μόνο αθλητές και αθλούμενους αλλά και διάφορους επαγγελματίες, οι οποίοι λόγω της φύσης της εργασίας τους επαναλαμβάνουν μια επιβαρυντική για τον τένοντα κίνηση.
Αιτίες Τενοντίτιδας
Οι αιτίες που μπορούν να οδηγήσουν σε μια τενοντίτιδα είναι πολλές:
- αθλητικές δραστηριότητες, ιδίως όταν γίνεται λάθος εκτέλεση των ασκήσεων
- εργασίες στις οποίες επαναλαμβάνουμε επιβαρυντικές για τον τένοντα κινήσεις, χωρίς να του δίνουμε το περιθώριο να ξεκουραστεί
- ορισμένοι τύποι αρθρίτιδας ή ρευματοπάθειες
- διαβήτης ή παθήσεις του θυροειδούς
- η ηλικία
Αιτίες Ρήξης Υπερακάνθιου Τένοντα
Η ρήξη του υπερακανθίου μπορεί να είναι αποτέλεσμα ενός οξέος τραύματος, μιας συχνής και διαρκούς καταπόνησης του ώμου ή να οφείλεται σε ανατομικούς παράγοντες, όπως το να εξέχει προς τα κάτω το ακρώμιο -ένα οστό, κάτω από το οποίο περνάει ο υπερακάνθιος- και στο οποίο τρίβεται, με αρχικό αποτέλεσμα τη φλεγμονή του τένοντα (τενοντίτιδα) και τελικό τη ρήξη του στροφικού πετάλου. Η ρήξη αυτή μπορεί να ποικίλλει σε σχήμα και μέγεθος.

Συμπτώματα
Τα συμπτώματα που πρέπει να μας ανησυχήσουν και να επισκεφτούμε τον ορθοπαιδικό χειρουργό είναι:
- o έντονος πόνος στην μπροστινή ή εξωτερική επιφάνεια του ώμου, που αντανακλά ως τον αγκώνα, τον αυχένα και την πλάτη και επιδεινώνεται σημαντικά κατά τη διάρκεια της νύχτας
- το οίδημα στην περιοχή
- η αδυναμία ή δυσχέρεια στην εκτέλεση κάποιων κινήσεων του χεριού, όπως η πλήρης άρση του και οι στροφικές κινήσεις.
Η ρήξη του υπερακανθίου τένοντα πρέπει να πρέπει να αντιμετωπίζεται άμεσα, αλλιώς μπορεί να αποβεί καταστροφική για τον ώμο, καθώς με τη σταδιακή αύξηση της ρήξης, καταστρέφεται ο αρθρικός χόνδρος και οδηγείται ο ασθενής σε επώδυνη αρθρίτιδα (cuff arthropathy) που απαιτεί επέμβαση που ονομάζεται ανάστροφη αρθροπλαστική ώμου.
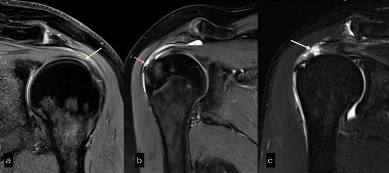
Διάγνωση της Ρήξης του Υπερακανθίου Τένοντα
Η διάγνωση της ρήξης θα γίνει από έναν εξειδικευμένο ορθοπαιδικό χειρουργό με την κλινική εξέταση και θα επιβεβαιωθεί με τη βοήθεια μαγνητικής τομογραφίας , υπερηχογραφήματος και ακτινογραφιών, ώστε να αποκλειστούν άλλες πιθανές αιτίες του πόνου, όπως η οστεοαρθρίτιδα ή παθήσεις που ο πόνος αντανακλά στον ώμο, όπως παθήσεις του θώρακα και της καρδιάς ή αυχενική δισκοπάθεια. Παράλληλα θα εντοπιστεί η παρουσία ή μη υγρού και επασβεστώσεων στην περιοχή.

Συντηρητική Θεραπεία
Όπου αυτό είναι εφικτό όπως στην περίπτωση τενοντίτιδας ή μερικού πάχους ρήξης προτιμάται η συντηρητική θεραπεία, η οποία περιλαμβάνει:
- ανάπαυση και περιορισμός της κίνησης του ώμου
- παγοθεραπεία
- φυσικοθεραπείες
- αντιφλεγμονώδη φάρμακα
- έγχυση κορτικοστεροειδούς
- σύγχρονες θεραπείες όπως εγχύσεις PRP, υαλουρονικού οξέος και κολλαγόνου
Το ποσοστό επιτυχίας μιας συντηρητικής θεραπείας είναι αρκετά υψηλό, όμως συχνά παρουσιάζεται υποτροπή μετά από κάποιο χρονικό διάστημα.
Χειρουργική Αντιμετώπιση - Συρραφή Στροφικού Πετάλου – Ακρωμιοπλαστική
Η χειρουργική αντιμετώπιση συνήθως συστήνεται σε νεότερους ασθενείς, όταν έχει αποτύχει η συντηρητική θεραπεία, σε ασθενείς που παρουσιάζουν συχνές υποτροπές και σε όσους μειώνεται προοδευτικά η κινητικότητα του άκρου.
Η σύγχρονη χειρουργική αντιμετώπιση της ρήξης είναι η αρθροσκοπική συρραφή του στροφικού πετάλου, σε συνδυασμό με ακρωμιοπλαστική.
Ο ορθοπαιδικός χειρουργός με 3 συνήθως τομές των 5 χιλιοστών περίπου, όπου από τη μία εισάγει μια μικροσκοπική κάμερα και από τις άλλες τα ειδικά εργαλεία, θα κάνει όλες τις απαραίτητες ενέργειες για την αποκατάσταση του προβλήματος, όπως καθαρισμό των ιστών που φλεγμαίνουν, συρραφή του στροφικού πετάλου που έχει υποστεί ρήξη συνήθως με χρήση ειδικών αγκυρών ή και ακρωμιοπλαστική, δηλαδή αφαίρεση του τμήματος οστού του ακρωμίου στο οποίο προστρίβεται ο τένοντας, ώστε να αποφευχθεί η επαναρήξη του.

Αποκατάσταση Μετά τη Χειρουργική Επέμβαση
Μετά την εγχείρηση, δε χρειάζεται νοσηλεία και ο ασθενής χρησιμοποιεί για κάποιο διάστημα έναν κηδεμόνα απαγωγής ώμου, ενώ ακολουθεί με τις υποδείξεις του ορθοπαιδικού χειρουργού ειδικό ασκησιολόγιο με συγκεκριμένες κινήσεις αλλά και φυσικοθεραπείες.
Για να αποκτηθεί η πλήρης κινητικότητα του ώμου χρειάζονται 2-3 μήνες ανάλογα με την έκταση της ρήξης.
Η αρθροσκοπική συρραφή του στροφικού πετάλου απαιτεί εξειδικευμένη κατάρτιση, όχι μόνο για να αποκατασταθούν σωστά οι τένοντες, αλλά κυρίως για να γίνει η ορθή επιλογή του τρόπου που θα επιδιορθωθεί η ρήξη. Όταν η επέμβαση γίνεται από έναν έμπειρο και εξειδικευμένο ορθοπαιδικό χειρουργό, επιτυγχάνονται τα βέλτιστα λειτουργικά αποτελέσματα με τον συντομότερο χρόνο αποθεραπείας.
