Η πελματιαία απονεύρωση (plantar fasciitis) είναι ουσιαστικά μια δεσμίδα ινών κάτω από το δέρμα του πέλματος, η οποία συνδέει τα μετατάρσια με την πτέρνα, έχει αρκετή ελαστικότητα και παίζει σημαντικό ρόλο σε όλες τις λειτουργίες του ποδιού, όπως στην όρθια στάση, τη βάδιση και το τρέξιμο, ενώ ταυτόχρονα υποστηρίζει την καμάρα.

Πώς Προκαλείται η Πελματιαία Απονευρωσίτιδα;
Η πελματιαία απονευρωσίτιδα είναι ιδιαίτερα συχνή στους αθλητές μεγάλων αποστάσεων και σε όσους ασχολούνται με τα άλματα και τον χορό, όμως μπορεί να συμβεί στον οποιονδήποτε εξαιτίας άλλων παραγόντων όπως:
- η υπερβολική επαναλαμβανόμενη φόρτιση του πέλματος - ιδίως με αυξημένο φορτίο - που τραυματίζει την πελματιαία απονεύρωση
- η κακή στάση και ισορροπία του σώματος
- η φυσιολογία του πέλματος (π.χ. πλατυποδία ή κοιλοποδία)
- η παχυσαρκία
- η χρήση μη κατάλληλων υποδημάτων
- τα επαγγέλματα που απαιτούν πολύωρη ορθοστασία
- κάποιες παθήσεις, όπως ο διαβήτης
- τραυματισμοί του πέλματος
Διάγνωση της Πελματιαίας Απονευρωσίτιδας
Αρχικά ο ασθενής νιώθει ερεθισμένη την περιοχή του πέλματος και ο πόνος είναι αρκετά έντονος κατά την ορθοστασία και ακόμα περισσότερο κατά τη βάδιση ή το τρέξιμο. Μάλιστα, ο πόνος είναι πολύ πιο έντονος μετά από ένα διάστημα ανάπαυσης, με προοδευτική μείωση σε κάθε βήμα.
Αυτό θα τον οδηγήσει στον ορθοπαιδικό χειρουργό, ο οποίος με κλινική εξέταση και μια απλή ακτινογραφία, θα διαγνώσει την πελματιαία απονευρωσίτιδα, δηλαδή την ύπαρξη φλεγμονής στην πελματιαία απονεύρωση, ενώ παράλληλα θα εντοπίσει τυχόν συνοδές παθήσεις (σύνδρομο ταρσιαίου σωλήνα, ανεπάρκεια του οπίσθιου κνημιαίου, βραχύς αχίλλειος τένοντας) και θα αποκλείσει άλλες πιθανές αιτίες του πόνου, όπως η οσφυοϊσχιαλγία, η αρθρίτιδα, κάποιο κάταγμα ή οίδημα του οστού της πτέρνας κ.ά.

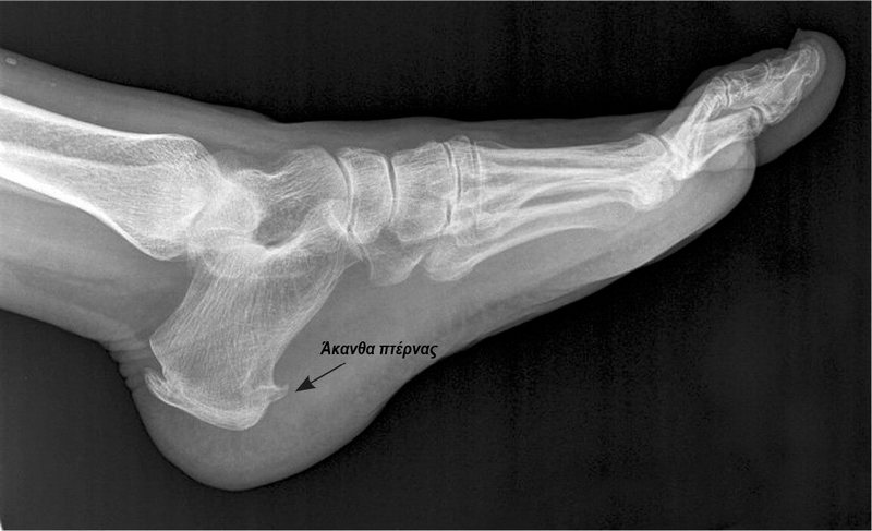
Πολλές φορές στην ακτινογραφία εντοπίζεται και η ύπαρξη άκανθας πτέρνας, η οποία είναι ένα οστεόφυτο - μια οστέινη ουσιαστικά ανάπτυξη ή προέκταση του οστού της πτέρνας στο κάτω μέρος του - το οποίο ο ασθενής μπορεί να το νιώθει κάποιες φορές σαν “καρφί” που πιέζει τα νεύρα στην περιοχή προκαλώντας πόνο. Η άκανθα πτέρνας λανθασμένα συνδεόταν για χρόνια με την πελματιαία απονευρωσίτιδα, αφού μόνο το 5% όσων έχουν άκανθα εμφανίζουν συμπτώματα πελματιαίας απονευρωσίτιδας. Η άκανθα πτέρνας δεν είναι το αίτιο της απονευρωσίτιδας αλλά το αποτέλεσμα χρόνιων τραυματισμών της πελματιαίας απονεύρωσης.
Θεραπεία Πελματιαίας Απονευρωσίτιδας
Για τη θεραπεία της πελματιαίας απονευρωσίτιδας προτείνεται ως επί το πλείστον συντηρητική αγωγή. Αυτή περιλαμβάνει:
- ανάπαυση και περιορισμό της δραστηριότητας
- παγοθεραπεία ανά τακτά διαστήματα για τον περιορισμό της φλεγμονής αλλά και την ανακούφιση του πόνου
- φυσικοθεραπείες, με ειδικές ασκήσεις που αφορούν κυρίως σε διατάσεις του πέλματος και του αχίλλειου τένοντα (achilles stretch) και ραδιοκύματα TEKAR
- αντιφλεγμονώδη φάρμακα
- απώλεια βάρους, για όσους είναι υπέρβαροι
- χρήση ειδικών νυχτερινών ναρθήκων, ώστε να κρατούν την πελματιαία απονεύρωση σε τάση
- τοπική έγχυση κορτικοστεροειδούς ή σύγχρονες θεραπείες όπως PRP (αίμα πλούσιο σε αιμοπετάλια και αυξητικούς παράγοντες)
- ενδεδειγμένα αθλητικά υποδήματα και ειδικά πέλματα. Η ανάλυση βάδισης θα αναδείξει ειδικότερα προβλήματα φόρτισης του πέλματος που μπορούν να αντιμετωπισθούν με την κατασκευή εξιδικευμένων πελμάτων.

Συνήθως με την συντηρητική αγωγή μετά από μερικές εβδομάδες η πελματιαία απονευρωσίτιδα υποχωρεί.
Σε πολύ σπάνιες περιπτώσεις, όπου δεν παρατηρείται βελτίωση ή έχουμε υποτροπή της φλεγμονώδους κατάστασης, και οι οποίες αποτελούν ένα πάρα πολύ μικρό ποσοστό των ασθενών, ο ορθοπαιδικός χειρουργός θα συστήσει χειρουργική αντιμετώπιση της πελματιαίας απονευρωσίτιδας. Κατά την χειρουργική επέμβαση, θα γίνει καθαρισμός της φλεγμαίνουσας περιοχής (και όχι αφαίρεση) και επιμήκυνση του ιστού, όπου υπάρχει βράχυνση όπως για παράδειγμα ο γαστροκνήμιος. Οι επεμβάσεις αυτές γίνονται με τεχνικές ελάχιστης παρεμβατικότητας (MIS) και γρήγορη αποκατάσταση.
